
Biocontainment, including the most recent threat of highly pathogenic avian influenza, demands we continue to finance research, and continue cooperation with important organizations like the WHO.

Biocontainment, including the most recent threat of highly pathogenic avian influenza, demands we continue to finance research, and continue cooperation with important organizations like the WHO.

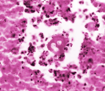
GAFFI is addressing fungal diagnostic gaps by raising awareness, implementing models, and advocating for resource shifts, despite challenges in funding, infrastructure, and political support.

Intravenous (IV) push is an attractive option to administer antimicrobial therapy to patients in an efficient and effective manner in a variety of clinical settings. While many advantages to IV push administration exist, clinicians should be mindful of available literature regarding safety profiles, pharmacokinetic/pharmacodynamic characteristics, and clinical data for IV push antimicrobial administration prior to utilizing it in specific patient populations.

Alejandro Krolewiecki, MD, discussed testing a combination of albendazole and ivermectin to improve treatments for neglected tropical diseases.

The fully cooked frozen product was not recalled because the product can no longer be purchased. This does apply to consumers who have the product at home.

James F Cummings, MD discusses phase 2b trial Phase 2b trial expansion focusing on safety, efficacy, and immune response for Vaxart’s investigational oral vaccine.

Oropouche fever, primarily found in Central and South America and the Caribbean, has seen a dramatic increase in cases in Brazil.

Vaccines and treatments are up for approval in early to mid-2025, including a chikungunya vaccine, a meningococcal vaccine, a monoclonal antibody for RSV, and more.

The outbreak is currently concentrated in 2 counties in the state, Wyandotte and Johnson.

Research into new antifungal treatments, including drugs in phase two and three trials, offers hope for patients who do not respond to current therapies.

Wendy Dann has MS and describes her experience with a copay assistance program that provides insurers with additional revenue, but does not go towards her deductible.

Mackenzie Keintz, MD validate an antibiotic appropriateness metric to enhance UTI treatment in outpatient care, addressing challenges in coding and prescribing accuracy.

In a small trial, the Hecolin hepatitis E vaccine demonstrated further utility outside of previous study parameters.

The impact of the "95-95 by 2025" campaign and successes in countries like Uzbekistan and Guatemala, where action to improve diagnostic tools has addressed fungal infection challenges.

An investigational inhibitor, V-161, has been shown to reduce bacterial growth and colonization in an enzyme that is key to enterococcus proliferation.

This week, local health department's role in combating HAIs and AMR by strengthening infection prevention, global efforts to address fungal infections, and pandemic preparedness continue to face challenges, and more.

Nature Medicine published additional data on Vedanta Biosciences’ Clostridioides difficile investigational therapy, VE303, from its phase 2 trial.

George Thompson, MD, explains a rise in Valley fever cases in CA, with concerns about increased virulence, ICU admissions, and the impact of droughts and wildfires on fungal spread.

Oral omadacyline or linezolid was equally efficacious to intravenous dosing for acute bacterial skin infections, and associated with less cost and risks.

David W Denning, FRCP, FRCPath, FMedSci, outlines the "95-95 by 2025" initiative to diagnose and treat 95% of serious fungal infections globally by 2025, focused on improving access in underserved regions.

As a new administration is taking hold, Carl Schmid, executive director of the HIV+Hepatitis Policy Institute, discusses the last administration’s approach to the 2026 Notice of Benefit and Payment Parameters rule and its effects on patient cost-sharing.

Sasirekha Ramani, PhD, discusses the potential of 2′FL as a treatment for norovirus and what more research could reveal.

In the third installment of our series on preparedness, Gavin Harris, MD, discusses the principles and challenges of biorisk management, focusing on infectious disease threats and containment strategies.

Caryn Fenner and Petro Terblanche outline Afrigen's clinical trial plans, local partnerships, and vaccine pipeline.

In the second interview segment with George Thompson, MD, he provides feedback on patient profiles and prescribing practices for the antifungal.

Caryn Fenner and Petro Terblanche explain how CEPI’s $6.2 million grant will advance Afrigen’s mRNA vaccine for Rift Valley fever through preclinical and Phase I trials in Africa.

The COVID-19 pandemic underscored the urgent need for global pandemic preparedness. The World Health Organization (WHO) is leading efforts to establish a global treaty to address future pandemics, with findings expected in 2025. Central to this preparedness is immunomics, a field leveraging advanced genomics technologies to study the immune system at unprecedented levels of detail.

Roche's cobas liat molecular tests for chlamydia, gonorrhea, and Mycoplasma genitalium provide fast, accurate diagnoses in under 20 minutes.

The federal government is working on measures to mitigate the potential impact including looking at vaccines, therapies, and other strategies. Robert Hopkins, Jr, MD, medical director, National Foundation for Infectious Diseases (NFID), provides some insights on our preparation now and lessons learned from the pandemic.

Review finds Long COVID patients experience executive function impairments impacting tasks like shifting, inhibition, and working memory, affecting daily activities.