News
Media
Medical World NewsPodcastsVideosInsightsPeer ExchangeMedia DayNews NetworkRoundtables
Conference
Conference CoverageConference Listing
Publication
More
CME/CE
Partners
Resources
Interactive ToolsSpecial ProjectsSponsored
Contribute
Case StudiesWriters and Mentors
Clinical Forum Insights

Subscribe

  • News
  • Media
  • Conference
  • Publication
  • CME/CE
  • Partners
  • Resources
  • Contribute
  • Subscribe
  • Clinical Forum Insights
  • Antimicrobial Stewardship
  • Blood-Borne Diseases
    • Ebola
    • HCV / Hepatitis
  • Coronavirus / COVID
  • Food Borne Infection / Food Safety
    • E. Coli
    • Food Safety
    • Listeria
    • Salmonella
  • Fungal Infections
    • Candida auris
  • Gastrointestinal Infections
    • C. Difficile
    • H. Pylori
    • Norovirus
  • Healthcare Associated Infections (HAI)
  • Prevention
    • Antibiotics
    • Immunizations
    • Vaccines
  • Respiratory Infections
    • Community-Acquired Pneumonia
    • Measles
    • Influenza
  • Sexually Transmitted Diseases
    • HIV / AIDS
    • HPV
    • HSV
    • PrEP
  • Skin & Soft Tissue Diseases
    • MRSA
  • Zoonotic & Vector-Borne Diseases
    • Lyme Disease
    • ZIKA
Spotlight -
Antimicrobial Stewardship|
Bench to Bedside With SIDP|
C. difficile |
Clinical Corner|
Fungal Infections|
Hepatitis|
RSV: A New Era in Prevention
Advertisement

ANDREW LEE, MD

Advertisement

Articles by ANDREW LEE, MD

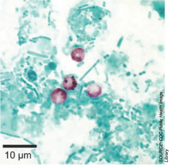
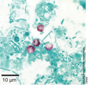
Cryptosporidium: A Potentially Fatal Cause of Diarrhea in a Heart Transplant Recipient

ByANNE BORJA, MD,ANDREW LEE, MD,BENJAMIN BLUEN, MD,SHELLEY HANKINS, MD,DONG HEUN LEE, MD
December 18th 2018

Expanding the differential for diarrhea beyond Clostridium difficile.

Advertisement

Latest Updated Articles

  • Cryptosporidium: A Potentially Fatal Cause of Diarrhea in a Heart Transplant Recipient
    Cryptosporidium: A Potentially Fatal Cause of Diarrhea in a Heart Transplant Recipient

    Published: December 18th 2018 | Updated:



Advertisement
Advertisement

Trending on Contagion Live

1

Infectious Disease Regulatory Watch: December Highlights

2

Protectors vs Police: How Antimicrobial Stewardship Interventions Come Across and How to Change the Narrative

3

Phase 3 Clinical Trial Reporting, Prospective Regulatory Filings to Watch For in 2026

4

"Moderate" Evidence Supports Latest Pentavalent Meningococcal Vaccine as Alternative to Separate Quadrivalent and MenB

5

Pertussis Cases Surge in Young Children, Adolescents Due to Reduced Vaccine Uptake

  • About Us
  • Advertise
  • Editorial
  • Contact Us
  • Do Not Sell My Information
  • Privacy
  • Terms & Conditions
Contact Info

259 Prospect Plains Rd, Bldg H
Cranbury, NJ 08512

609-716-7777

Brand Logo

© 2025 MJH Life Sciences®

All rights reserved.

Home
About Us
News
Contact Us