
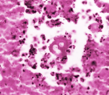
Last year, several cases were identified in American patients traveling to Mexico to receive cosmetic surgery. The source of transmission was discovered, and one of the investigators, Sarah Bergbower DCLS, MS, MLS (ASCP)CM, discusses her part with 1 of the cases.



























