
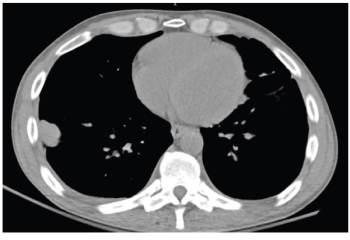
A patient presented with a history of uncontrolled HIV and a history of polysubstance use.

A patient presented with a history of uncontrolled HIV and a history of polysubstance use.

A full case study from our August 2020 issue.

Clinically, C kroppenstedtii has been isolated largely from female subjects, with most samples resulting from breast tissue and the remainder identified in blood, sputum, lung, and prosthetic valve infections.

Published: June 26th 2020 | Updated:

Published: August 25th 2020 | Updated: