
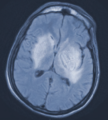
Read more about the case of a 71-year-old man who was admitted after presenting with cold-like symptoms for 3 weeks.
Novick is an infectious diseases physician at Thomas Jefferson University Hospital, where she also serves as associate program director of the infectious diseases fellowship.

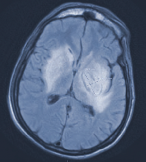
Read more about the case of a 71-year-old man who was admitted after presenting with cold-like symptoms for 3 weeks.

Clinicians review a patient case including diagnosis, treatment, and follow-up.


Published: April 1st 2024 | Updated: