
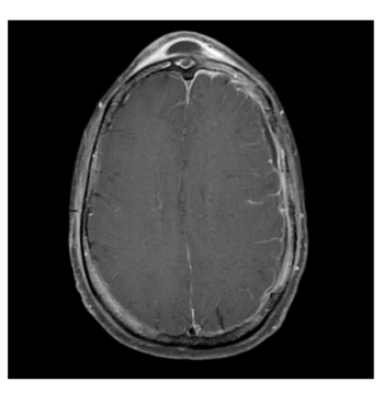
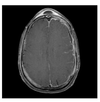
A rare case of Pott puffy tumor occurs in an atypical patient with no risk factors, likely due to untreated sinus infection.

A rare case of Pott puffy tumor occurs in an atypical patient with no risk factors, likely due to untreated sinus infection.

For people living with HIV, age-related comorbidities, such as obesity and diabetes, as well as quality-of-life issues remain challenges. Our Peer Exchange panel discusses clinical approaches for this patient population and trying to keep them in good health.

Although COVID-19 vaccination remains the primary focus for health care, other paramount vaccines need to be recognized. Here is a review.

The 2019 Strategic Plan of the Infectious Diseases Society of America lays the groundwork for understanding prescribing practices.

A review of treatment modalities for this patient population.

Shorter durations of antibiotic therapy demonstrate similar efficacy and may improve safety compared with longer courses for certain infections.

As the number of COVID-19 cases continues to rise, oral treatment options for at-home use are in demand to provide early intervention and reduce the progression to severe disease, hospitalization, and death.

Investigators examined the efficacy and safety of carbapenems vs select novel antibiotics for treatment of cUTI.

This nitroimidazole antibiotic is shown to be efficacious for this condition.

The idea of a future with COVID-19 is settling in, and building strategies that improve quality of life as we live with this viral disease are paramount.

A research agenda focusing on breakthrough infections, reinfections, severity, and sequelae is needed to inform clinical practice when COVID-19 emphasis shifts from eradication to living with the disease.