
This In the Literature piece explores if we can mitigate some of the adverse reactions that are being seen in obese patients who receive vancomycin through AUC-dosing.

This In the Literature piece explores if we can mitigate some of the adverse reactions that are being seen in obese patients who receive vancomycin through AUC-dosing.

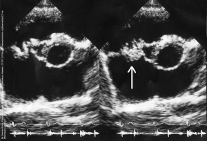
By itself, the POET trial should not fundamentally change the current approach to infective endocarditis treatment.

Published: September 20th 2018 | Updated:

Published: May 29th 2019 | Updated: