
The investigational vaccine amezosvatein demonstrated low reactogenicity, supporting its potential as an alternative for shingles prevention in adults 50 and older.

The investigational vaccine amezosvatein demonstrated low reactogenicity, supporting its potential as an alternative for shingles prevention in adults 50 and older.

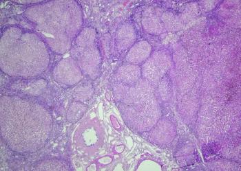
This systematic review focuses on breakthrough invasive fungal infections (bIFIs) in patients with high-risk hematological cancers, like acute leukemia, or those who have undergone stem cell transplants. Despite prophylactic antifungal treatments (usually with voriconazole or posaconazole), bIFIs remain challenging due to their complexity and high mortality rates.

In the second part of their interview, Debika Bhattacharya, MD MSc, and Su H. Wang, MD, MPH, FACP, continue the conversation around the difficulties of getting people into care, and what the new hepatitis B guidelines hope to improve in this area.

Corey Fishman and Steven Aronin, MD, discussed trial highlights of Orlynvah for uncomplicated urinary tract infections and outlining plans to seek partners for a market launch to address antibiotic resistance and enhance patient treatment options.

With AMR being a global priority, biosecurity-type policy around resistance may be part of the solution.

The CANOPY Phase 3 clinical trial demonstrated a reduced risk of symptomatic COVID-19, including a 64% reduction during the off-drug follow-up period.

Iterum Therapeutics receives approval for Orlynvah as the first oral penem for treating uncomplicated urinary tract infections in adult women with limited treatment options.

Jose Alexander, MD, offers some insights on the antimicrobial and its activity against various gram-negative pathogens such as pseudomonas, enterobacterales.

Shionogi’s ensitrelvir demonstrated reduction of symptoms in phase 3 trial.

Veterinary and public health officials share the important roles of surveillance and prevention strategies, insights on the virus's transmission pathways, historical context, the One Health approach, and highlights effective precautionary measures to mitigate H5N1 risks.

The clinical stage company, Recursion, dosed its first participant using a novel therapy that is not an antimicrobial.

Ferring presented new real-world data demonstrating that 73.3% of patients reported enhanced physical function and 86.7% experienced better mental well-being.

The significance of antiretroviral therapy (ART) has been a game changer for people living with HIV (PLWH). Still, there are some cardiovascular risks associated with different ART classes—particularly protease inhibitors (PIs), non-nucleoside reverse transcriptase inhibitors (NNRTIs), and integrase strand transfer inhibitors (INSTIs). Authors review a piece in the literature around this area of study.

Reducing the age for pneumococcal vaccination allows more adults to safeguard themselves against pneumococcal disease during a period when their risk of infection significantly rises.

HCV infection was associated with elevated brachial-ankle pulse wave velocity levels in patients with ESRD receiving hemodialysis.

Experts highlighted research showing that even mild COVID can result in cognitive impairment including brain fog and IQ decline, the FDA approved Pfizer's RSV vaccine for adults aged 18 to 59, E coli outbreak linked to McDonald's Quarter Pounders, and more.

Without a specific tailored Long COVID therapy, individualized treatment based on patient phenotypes, along with extensive evaluations, is essential for effective symptom management.

Links to consumed hamburgers have resulted in 75 infections and one fatality, prompting an investigation of the slivered onions used on these beef patties.

Christine Slover, PharmD discussed cefiderocol's effectiveness against challenging infections, including those caused by multi-drug resistant bacteria.

David Richards emphasized the therapy’s potential to enhance antibiotic effectiveness by targeting bacterial biofilms, a significant challenge in treatment.

This new indication for the bivalent respiratory syncytial virus prefusion F vaccine (Abrysvo) makes it the broadest currently available.

Important vaccine updates, including a second COVID-19 vaccine dose for adults 65 and older and immunocompromised individuals, a pneumococcal vaccine for adults aged 50 and older, and more.

Nigel McCracken, PhD, presents a diagnostic test to identify early T cell dysfunction in syndromes like Long COVID and ME/CFS, aiming to improve treatment strategies before symptoms escalate.

Timothy Ritter, MD, provides his insights on using the live biotherapeutic product and what both patients and clinicians can expect in terms of safety and efficacy.

Anushua Sinha, MD, discussed the findings, highlighting a 60.4% reduction in medically attended lower respiratory infections and significant decreases in RSV-related hospitalizations.

Debika Bhattacharya, MD MSc, and Su H. Wang, MD, MPH, FACP, provide important insights on the latest in hepatitis B (HBV) clinical care.

The STOP-CDI intervention presented by Matthew J.Ziegler, MD MSCE revealed using prophylactic enteral vancomycin, significantly reduced hospital-onset C difficile infections among immunocompromised patients.

John McLaughlin, PhD, examines high-risk individuals with prior SARS-CoV-2 immunity and presents that Paxlovid reduces the risk of hospitalization, death, and severe symptoms, highlighting its ongoing value for high-risk patients in a post-peak pandemic landscape.

Invivyd’s Chief Scientific Officer Robert Allen, PhD, discusses the company’s pemivibart (Pemgarda) including its administration, how it can be used in concert with vaccines, and how it protects against newer variants.

Elizabeth Hastie, MD discussed the LATITUDE trial results, highlighting the need for wider access to this treatment, especially for those not virally suppressed, and could help shape future healthcare guidelines.