
Clinicians offer insights on a variety of elements surrounding boosters.

Clinicians offer insights on a variety of elements surrounding boosters.

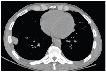
A patient presented with a history of uncontrolled HIV and a history of polysubstance use.

Here is a review of the literature for this class of antibiotics.

Investigators designed a quasi-experimental pre- and post-intervention analysis comparing a pre-intervention cohort receiving IV drip antibiotic infusion with a post-intervention cohort receiving IVP administration.

A new study demonstrated that gut organisms can alter drug availability by biotransformation on a significantly broader scale than previously expected.


As the pandemic enters its third year, fatigue and frustration grow, but there is hope for the future.

Although this form of prophylaxis is highly protective, there are situations in which breakthrough infections occur.

A robust stewardship program requires a comprehensive investment in technology and staff.

With the warmer months in full swing, here are clinical considerations and strategies for tick-borne infections.

This agent is likely best utilized as part of a combination when treating this bacterium but data regarding appropriate combinations are scarce.