
A comprehensive look at coccidioidomycosis (valley fever) through diagnosis, treatment, prevention, and climate change impact.

A comprehensive look at coccidioidomycosis (valley fever) through diagnosis, treatment, prevention, and climate change impact.

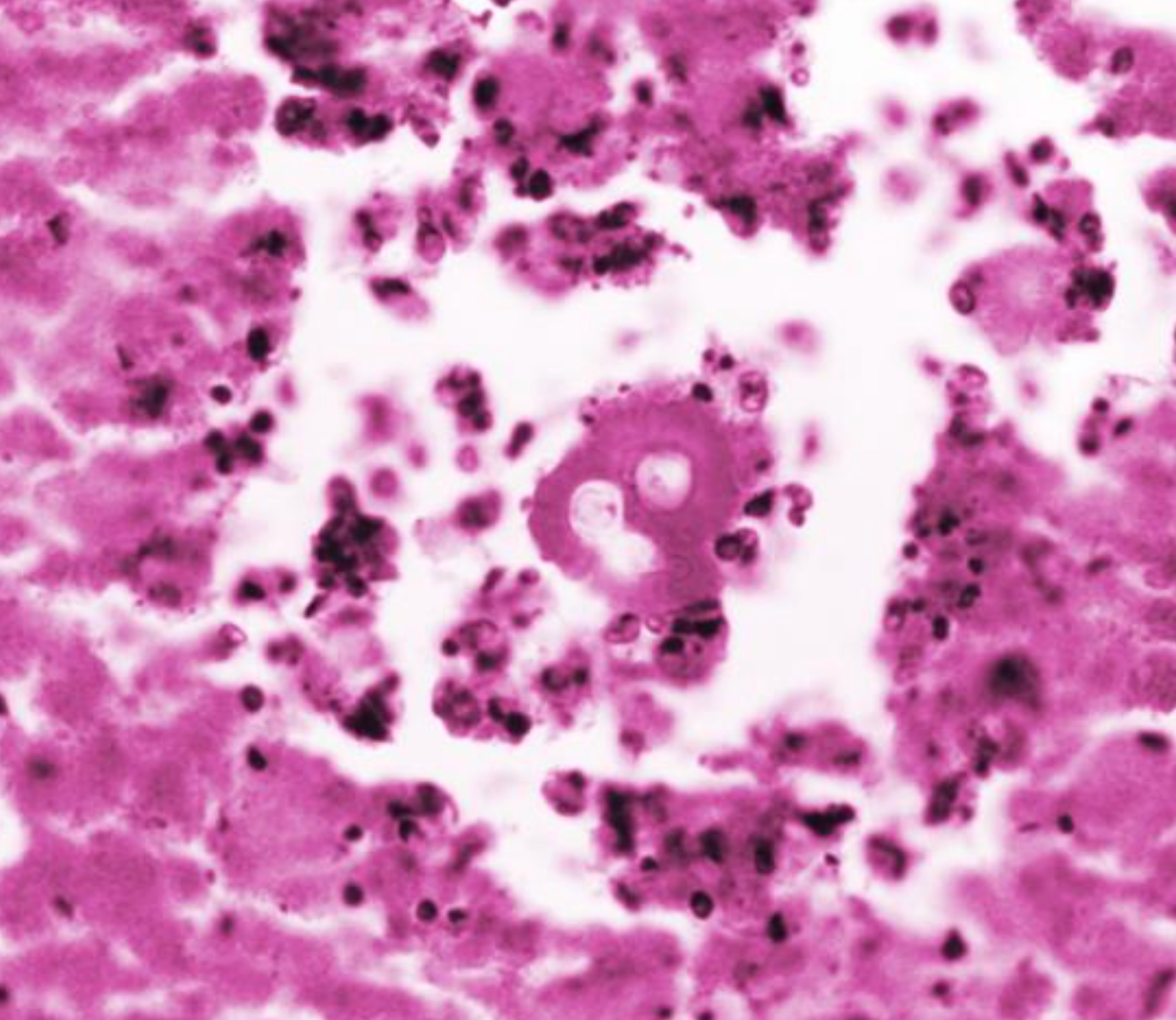
Clinicians review a patient case including diagnosis, treatment, and follow-up.

The fungal infection includes 4 patients, but so far no deaths are associated with it.

The CDC’s recent warning of the rising incidence rates of the fungal infection is cause for concern, but understanding which patients and settings are at a higher risk is equally as important. The lead author in the CDC’s recent C auris study offers some insights for both medical institutions and the general public.

With yesterday’s FDA decision, Cidara’s injectable antifungal rezafungin become the first new drug approved to treat candidemia and invasive candidiasis in over a decade.

Candida auris fungal infections increased 95% in 2021, and drug-resistant cases are continuing to spread across the US.

A prominent researcher offers some insights on this emerging fungal infection.

AdventHealth Orlando studied a small number of these fungal isolates to examine treatment resistance patterns.

The emergence of this fungal infection remains mysterious as the world experiences more outbreaks.

With the unpredictability of when it will appear, and its propensity to be multidrug-resistant, this particular pathogen is challenging to diagnose and treat.

This is the first oral non-azole treatment for vaginal yeast infections.