
HCV / Hepatitis
Latest News
Latest Videos

CME Content
More News

Survey data show pharmacists are integral to HCV screening and treatment across healthcare settings, highlighting their contributions to HCV elimination efforts.

This week, a need for better access to diagnostic technologies for Long COVID, Iterium Therapeutics' discussed their FDA-approved Orlynvah for uncomplicated UTIs, the recent rise in human cases of avian influenza, and more.

In the second part of their interview, Debika Bhattacharya, MD MSc, and Su H. Wang, MD, MPH, FACP, continue the conversation around the difficulties of getting people into care, and what the new hepatitis B guidelines hope to improve in this area.

HCV infection was associated with elevated brachial-ankle pulse wave velocity levels in patients with ESRD receiving hemodialysis.

Debika Bhattacharya, MD MSc, and Su H. Wang, MD, MPH, FACP, provide important insights on the latest in hepatitis B (HBV) clinical care.

Catherine Chappell, MD, MSc, presents what we know so far, highlighting the safety and effectiveness of direct-acting antivirals, the importance of shared decision-making, and the need for patient-provider discussions to ensure informed choices about care.

The Hawaii Department of Health released a report detailing the alarming link between hepatitis C and premature mortality in the state.

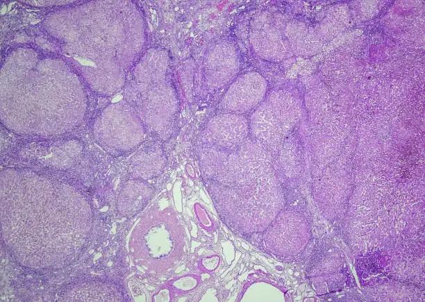
It is important to recognize this organ that has multiple life-enhancing functions.

The Xpert HCV assay facilitates rapid HCV diagnosis in nonclinical settings, aiding high-risk populations like those under community supervision.

This week, recent investigations link contaminated ice machines to Burkholderia multivorans infections, the hepatitis treatment market is projected to grow to USD 30.2 billion by 2032, 2020 guidelines recommend targeting specific AUC levels for optimizing vancomycin therapy, and more

A new study finds that 1.4 million people aged 12-59 with current hepatitis C (HCV) infection, including over a third of them without a history of injection drug use.

The global hepatitis treatment market is more than a financial figure; it is a key area in the effort to combat the silent disease that impacts millions around the world.

A systematic review and meta-analysis finds that hepatitis B (HBV) education led by healthcare providers had the greatest impact on testing uptake.

In 2015 the country's high prevalence of chronic hepatitis C (HCV) was 5.4%, higher than the global average of 1%. In addition, Georgia saw a 67% reduction in chronic infection.

The role of Anti-HDV IgG tests in diagnosing HDV in patients with Hepatitis B, showing sensitivity and specificity, making these serological tests important for identifying this form of viral hepatitis.

The model predicts and stratifies hepatocellular carcinoma risk by analyzing serum HBV DNA levels and other factors to enhance early detection and management.

A recent study showed that an increase in anti-hepatitis E virus seroprevalence in patients with chronic inflammatory demyelinating polyneuropathy was not a consequence of intravenous immunoglobulin therapy.

Overall, findings demonstrated a 78% treatment success rate among patients who prematurely discontinued direct-acting antivirals (DAA), and even seeing a 93% success rate among those who discontinued after week 4.

Protein organization could pave the way for effective vaccine development

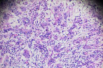
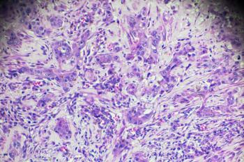
The gene USP26 is identified as a factor in hepatocellular carcinoma development and a potential therapeutic target.

Atea pharmaceuticals' oral nucleotide RNA-dependent RNA polymerase inhibitor advances in phase 3 trials for COVID-19 and phase 2 trials for hepatitis C, showing potential efficacy.

This study provides evidence that using DAAs reduces liver fibrosis and improves clinical outcomes.

The results indicate that paternal hepatitis B virus infection before pregnancy is linked to a 40% higher risk of congenital heart diseases in their children.

Recent study establishes that the generic glecaprevir/pibrentasvir is bioequivalent to the brand name version, offering the same therapeutic benefits.

The Africa CDC's declaration of the mpox outbreak as a Public Health Emergency of Continental Security, GIGA-2339's upcoming phase 1 trials for HBV, ActivePure Medical's air decontamination system's success in reducing MRSA and HAIs, and more this week from Contagion.











































































































































































































































































































































