
HIV / AIDS
Latest News
Latest Videos

More News

Updated guidelines on the treatment and management of HIV in children and adolescents reflect new data on antiretroviral drugs as well as a call for mental health screenings.

Ben Berkhout, MD, PhD, discusses his work on the development of a novel curative strategy for HIV-1 infected individuals.

Vaccination against respiratory syncytial virus before birth or a dose of monoclonal antibody at birth may address an increased risk of hospitalization for RSV-associated illnesses in infants exposed to HIV.

Ben Berkhout, PhD, discusses if CRISPR/Cas9 will be a new antiviral strategy for the eradication of HIV.

Missing visits is a warning sign that patients may discontinue PrEP, according to a recent study that found only 38% of participants remained in treatment over 12 months.

Sexual risk behavior was significantly lower among men in community supervision programs who participated in couples-based intervention, in a recent study.

In a new trial, an experimental antibody suppressed HIV in patients on short-term pause from their daily antiretroviral therapy regimens.

A study using monkeys provides an intriguing glimpse of the possibilities of using CRISPR gene editing technology to knock out HIV reserves in humans.

Melanie Nicol, PharmD, PhD, explores how DMPA hormonal contraception affects women's HIV risk.

Jose Arribas, MD, discusses the challenges in the field of long-acting injectable therapy for the treatment, management, and even prevention of HIV.

Subcutaneous implants are 1 promising strategy to address suboptimal adherence to pre-exposure prophylaxis (PrEP) for HIV, and a recent in silico simulation examined pharmacokinetic profiles and safety of tenofovir alafenamide implants.

Brian Woodfall, MD, discusses how long-acting injectables offer a new treatment option for patients with HIV in terms of long-term therapy.

Jason Gallagher, PharmD, FCCP, FIDP, FIDSA, BCPS, reacts to news of the London patient, the second person cured of HIV infection.

Among gay and bisexual men, receipt of PrEP at study enrollment was linked with an increased incidence of STIs, but 25% of participants accounted for 76% of all STIs.

Dolutegravir/lamivudine (Dovato) becomes the first 2-drug, fixed-dose complete treatment for treatment-naive patients with HIV.

Saye Khoo, MD, advocates for a more appropriate, stratified, risk-based approach to prescribing dolutegravir in pregnant women.

Bluma Brenner, PhD, explains the driving factors behind the push for new antiretroviral drugs for HIV treatment.

Contagion® is reflecting on the advancements in treatment and prevention that have been made in infectious diseases while identifying areas that need further improvement to reduce preventable deaths globally.

Although preventing the transmission of HIV from mother to baby is of paramount importance, we cannot overlook other health issues that may crop up later in life for children born to women with HIV.

Brian Woodfall, MD, shares his opinion on some of the biggest advancements in HIV treatment and prevention.

What’s the 411 on 2-1-1?

A 1-month course of rifapentine plus isoniazid is non-inferior to 9 months of isoniazid alone for preventing TB in individuals with HIV, a study reports.

The new single-tablet regimen provides a safe and effective treatment option for patients with HIV.

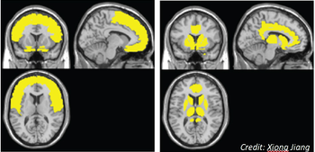
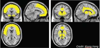
A neural model suggests the frontal lobe is affected early on in HIV disease and the caudate/striatum area is affected when neurocognitive disorder symptoms develop.

Paul Sax, MD, reacts to the ATLAS and FLAIR studies on long-acting injectable therapy.