
In response to the hepatitis C virus outbreak in Kentucky, political and healthcare officials are debating the implementation of a needle exchange program for injection drug users.

In response to the hepatitis C virus outbreak in Kentucky, political and healthcare officials are debating the implementation of a needle exchange program for injection drug users.

A new report from the European Center for Disease Prevention and Control estimates that there are 122,000 people living with undiagnosed HIV in the region, and call for improved testing services to increase diagnosis rates.

UN Secretary-General Ban Ki-moon offers a public apology for a role in Haiti’s devastating cholera outbreak.

Multidrug-resistant HIV is a growing problem that can undo two decades of progress in the fight against the HIV/AIDS epidemic, and now a new study shows that the resistance is growing.

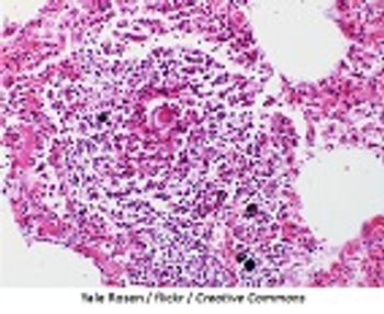
A new study suggests that the persistence of leprosy is partly due to inhalation of the aerosolized virus.

A recent study found that caregivers at daycares and preschools may not be washing their hands sufficiently, adding to the problem of germs and illnesses in group child care facilities.

California health officials’ “Getting to Zero” plan aims to dramatically cut the number of HIV cases in California through increased surveillance, access to care, and treatment.

Researchers in a new study have utilized the human antibody response to a salivary peptide in Aedes aegypti mosquitoes to determine the effectiveness of vector-control methods.

Microbes found in New York City park soil samples contain an array of microbes capable of producing known pathogen-fighting compounds, along with a large number of recently discovered compounds.

Ongoing mumps outbreaks around the United States show that the virus can occur even in vaccinated populations, though health officials stress that the mumps vaccine does prevent larger outbreaks from occurring.

Nicholas J. White, MD, shares his “Personal View” on mass drug administration (MDA) as a means of malaria prophylaxis.

University of Arizona researchers look at important trends related to infectious disease mortality in the United States.

Researchers from the University of Colorado School of Medicine discuss chronic rhinosinusitis with a focus on how host-microbe interactions contribute to its formation.

Researchers at the Mailman School of Public Health at Columbia University are the first to develop a computer model that predicts influenza activity down to the local level.

New research from University of California Santa Cruz biologists shows how antibodies work to stop astrovirus infections, offering a potentially new way to develop a vaccine and treatment for this infection.

Ten years ago in Geneva, the World Health Organization (WHO) unveiled what is now called the Global Action Plan for Influenza Vaccines (GAP), a comprehensive approach to meeting the demand for vaccines should there be a pandemic anywhere in the world. How is it doing?

A letter published in the CDC’s Emerging Infectious Diseases journal reported the first human case of EEE in Arkansas.

Pneumonia is the fourth leading cause of hospitalization among those living with Alzheimer’s disease, and now a new study by University of Eastern Finland researchers examined the link between the infection and certain antidementia drugs.

Australian students manufactured the $750 pill in their school lab.

A recent letter published in the CDC’s Emerging Infectious Diseases discussed a case that proved that novel hybrid livestock schistosomes can infect humans.

A team of 75 researchers from 56 institutions have conducted a global study of tuberculosis strains, finding that some may have adapted to specific human populations.

Researchers from the University of California-San Francisco tested the ability of 2,177 FDA-approved compounds to reduce viral proliferation in Zika-susceptible cells.

Researchers have found evidence that pre-cut bagged salads may encourage Salmonella colonization.

Glaucoma, a serious eye disease that can potentially cause permanent vision loss, was diagnosed in an infant with Zika.

In honor of World AIDS day, the National Institutes of Health reflected on advancements made in the fight against HIV and address future goals designed to end the HIV/AIDS pandemic.

The National Institute of Mental Health has granted researchers at the University of Pennsylvania School of Nursing and New York Blood Center $769,578 to go towards efforts to create an HIV awareness program for women.

HIV used to be a death sentence, but highly active antriretroviral therapy means infected individuals are living long enough to die from other diseases.

A new study’s findings make researchers optimistic as it proves that prolonged storage and pasteurization effectively inactivated Zika in the breast milk taken from women infected with the virus.

Congenital cytomegalovirus can cause a number of health issues in newborn babies, and a team of researchers in Japan have developed a prenatal screening method to detect these infections early.

Public Health England and the Department for Environment, Food and Rural Affairs researchers in the United Kingdom found drug-resistant E. coli in a large number of chicken samples, while much lower rates of contamination were observed in beef and pork samples.