
Jason Kindrachuk, PhD, addresses clinician questions about SARS-CoV-2 such as the length of infectious viral shedding and whether the virus will become endemic.

Jason Kindrachuk, PhD, addresses clinician questions about SARS-CoV-2 such as the length of infectious viral shedding and whether the virus will become endemic.

While school closures reduce case transmission of COVID-19, they may also reduce the capacity of a strained health care labor force.

Anthony Fauci, MD, of NIAID, Robert Redfield, MD, of CDC, and others considered initial epidemiology from Wuhan China, and the need to obtain, and act on new data.

AEI’s report outlines needed steps for country to return to health—and business.

Wendy M. Bamberg, MD, the editor of Contagion®’s Emerging and Re-emerging Infections section, shares her thoughts on social distancing, managing suspect cases, and lessons we can learn about COVID-19.

The FDA has granted an Emergency Use Authorization to the Cellex qSARS-CoV-2 IgG/IgM Rapid Test

Data on the epidemiology and clinical characteristics of pediatric cases of COVID-19 in the United States are now emerging.

Stay up to date on the latest coronavirus updates from Tuesday April 7th.

A new analysis in the CDC’s MMWR points to success in ART initiation and viral suppression among active duty members of the US armed forces.

Investigators from the University of Oxford say a mobile app could quickly identify contacts of persons infected with COVID-19 and alert those people of the need to self-isolate.

The city of Wuhan, China has eased controls on travel outside of the city after a lengthy lockdown.

A look at what key questions still have to be answered about COVID-19.

Jason Kindrachuk, PhD, situates the virus which causes COVID-19 in the context of past coronavirus outbreaks. This is part 1 of a 3-part interview.

Now more than ever, modeling is being used to address the global pandemic that is COVID-19.

Diabetics and patients taking glucocorticoids may be at increased risk for COVID-19 and more severe disease.

The CDC will produce a weekly report called COVIDView. The report will be updated each Friday with US-based surveillance information.

Catch up on the latest coronavirus news from April 6, 2020.

CDC investigators believe they have determined the cause for influenza vaccine effectiveness decline.

Ocular exams in a series of patients hospitalized with COVID-19 revealed one-third had conjunctivitis symptoms.

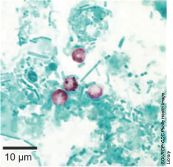
Identifying types of Cryptosporidium can inform outbreak response efforts and prevention, a recent Morbidity and Mortality Weekly Report from the CDC says.

The differences do not mean that the measles vaccine is ineffective.

“If we act immediately, we can make the anniversary of D-Day on June 6, 2020, the day America declares victory over the coronavirus,” wrote one NEJM editorialist.

What are the new recommendations from the CDC and what are the challenges associated with community mask usage?

A new analysis of the 1918-1919 Spanish Flu outbreak shows cities that were faster to outlaw public gatherings had lower mortality rates, according to a new review article.

A recent study contains a checklist for adapting the ED to a potential coronavirus case surge.

A placebo-controlled trial of hydroxychloroquine in patients hospitalized with COVID-19 finds the drug shortened time to recovery, possibly lessened severity.

By giving patients plasma or serum from patients who have developed antibodies to a particular virus or bacteria, an infected patient is given a massive boost to their adaptive immune system, which confers passive immunity.

Here is a look at infectious disease-related FDA news from the week of March 29, 2020.

We’ve compiled a list of recalls issued by the US Food and Drug Administration (FDA) and US Department of Agriculture (USDA) from this past week:

Check out the latest coronavirus news from April 3, 2020.