
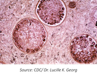
According to the new study, the antibacterial response of white blood cells to the flu virus fails to target the S. aureus bacteria and instead causes inflammatory injury to the lungs and damage to surrounding tissue, creating a higher susceptibility to secondary bacterial infections such as MRSA pneumonia.









































































































































































































































































































